Our Technologies

Here at Fenwick Dental we work hard to stay current with the latest technologies in our field. Having the most current equipment can often mean fewer visits for you as well as increased patient comfort and the most accurate results possible. Our Technologies include, but are not limited to the following:

CBCT 3D Scanner

CBCT
CBCT

Fenwick Dental has Latest CBCT scanner called Prexion Excelsior. With traditional dental x rays, one can only view images 2 dimensionally. With our CT scan our clinician can view images 3 dimensionally, so that we can diagnose pathology better. With increased visibility and quality of images we are able to serve you better.


Indications of a CT scan

  • For implant placement
  • To diagnose TMJ issues
  • To diagnose Airway issues.
  • To diagnose infection at root part of the tooth
  • To diagnose bone pathology
  • To diagnose sinus pathology
CBCT

3D Printer

Fenwick Dental uses 3D printer to print various models and guides to help with treatment.


We use a 3D printer for:

  • To print model from scan
  • To print a surgical guide for precise implant placement
  • To print Digital dentures, nightguards, whitening trays, retainers, and more
3D Printer
3d Printed Model

Intra Oral Scanner

Our office has a Medit Intra Oral Scanner. This scanner allows us to avoid messy impressions in the mouth that are often uncomfortable for patients to tolerate or can trigger a gag response. We now use the 3D scan of your teeth and gum to provide our labs with the most accurate information about your mouth. After your scan is completed and saved to a digital file we will send the file to the lab. We can use this scanner to make a number of dental prosthetics including dental crown and bridge work. Using the scanner and a digital copy of your mouth rather than a typical putty impression allows us to reduce the turnaround time for your case; making the process much faster and best of all easier for you!


Below you can see a Photo of our intraoral scanner.

Intra Oral Scanner

Velscope

Velscope is an instrument that we use to detect oral cancer cells in the earliest stages. Velscope utilizes a blue light similar to natural fluorescence that will highlight tissues that are concerning.By using the Velscope to detect the earliest signs of oral cancer you get treatment sooner. Velscope note only reduces not only the success rate of beating oral cancer, but can also reduce the amount of tissue loss and the chances of it spreading. Please let us know if you would like a Velscope exam today.


Velscope

Digital Radiographs

We have digital radiographs . With digital radiographs, radiation is very low compared to conventional radiograph. It is quicker than conventional radiograph.


Digital radiograph

Digital Panoramic and cephalomatric radiograph

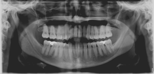
Dental Panoramic Machine
Panoramic Radiograph

We have panoramic and cephalomatric radiographs. With panoramic radiographs, we can see all teeth and bone surrounding teeth, cyst or tumor of the jaw or sinuses. We can assess bone level between teeth or infection at the root of teeth.


With Cephalomatric radiograph we can assess the inclination of teeth for orthodontic treatment.

Cephalomatric Radiograph

Laser

Laser

Laser is used to treat gum enlargement, biopsy, removal of soft tissue growth, correction of tongue tie, correction of high frenum attachment.


Diagnodent

Diagnodent

Diagnodent uses harmless laser technology to detect caries on a tooth. It helps us to find microscopic caries easily.


Pulp Vitality Tester

Pulp Vitality Tester

Electric pulp tester is used to check the vitality of a tooth. It helps us to diagnose if your tooth is alive or dead. If the tooth is dead because of caries or trauma, infection sets in and the tooth may need root canal treatment.