All-on-4 Dental Implants & Implant Dentures

All on 4 Dental Implants in Delaware, Maryland

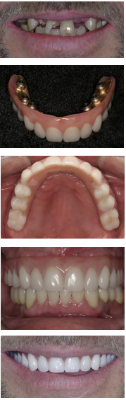
We place 4-6 implants in the jaw and make a framework that binds these implants and add teeth on top of this framework to make a hybrid denture. A hybrid denture is permanently secured to your bone and it does not come out of your mouth. In some cases, it is a better alternative to an implant supported Overdenture.


All on 4

What material is in an Implant Supported hybrid bridge?

Implants are made of titanium. The tooth and gum portion of the appliance has a base material that is made of acrylic covering high noble metal or zirconium oxide. The teeth can be plastic or porcelain.


Advantages of All on 4 hybrid denture

  1. It is fixed to Implants, so you do not need to take it out.

    Many patients fear their dentures falling out when they are speaking or eating. The Hybrid denture is fixed to implants with screws, so you can enjoy your daily activities without worrying about your dentures falling out or the social awkwardness of your teeth moving while speaking or chewing.

  2. There is no denture material covering your palate, so it is less bulky
  3. Your speech will be improved compared to the full coverage complete denture
  4. With your palate exposed you can enjoy the taste of your food and drinks

    Our tongue and palate have taste buds. When you wear a conventional denture, it covers your palate and it limits your ability to taste food. With a hybrid denture there is no extension on palate, so you can utilize all your taste buds.

  5. There is no need to apply messy denture adhesives that ruin the taste of your food
  6. Improved esthetic

    The snug fit of the hybrid denture gives an overall better esthetic and provides you with more confidence.


Disadvantages of All on 4 hybrid denture

  1. It is more expensive than a conventional denture or implant supported denture
  2. You should have it cleaned every 6 months by dental hygienist

All on 4

Implant Supported Overdenture:

overdenture

A Complete Denture with 2 or 4 Locator Attachments is an appliance that replaces all of the teeth on your upper or lower jaw. It is not cemented in your mouth and can be taken out. Locator Attachments are connected to dental implants that are placed in the jawbone. The Locator Attachments connect the Complete Denture to the implants. Generally, 2 implants and attachments are used for a lower jaw Complete Denture, and 4 implants and attachments are used for an upper jaw Complete Denture.

Sometimes a person’s jaw lacks the amount of bone needed to support a denture. Reasons for less bone:

  • Gum disease
  • Missing teeth
  • Wearing loose denture

When there is not enough jaw bone present in the mouth, the denture does not have enough retention and support. Usually, the lower jaw has less bone and because of mobility of the tongue, the lower denture is less stable. To provide better stability, we place two to four Implants in the jaw bone. Implants act like roots of teeth. After that, we place attachments on top of Implants and on the denture. The denture locks on to the implants with these attachments. This snap in denture holds better and does not move. You do not need to apply denture cream. Support from implants will give you an ultimate fit for your denture.

Advantages of Implant Supported Over Denture:

  1. You will speak more clearly
  2. Improved chewing ability
  3. Avoid the social embarrassment that comes with loose dentures
  4. Locator attachments greatly improve the retention and chewing ability of a complete denture. Patients who have a dry mouth and/or fragile tissue may have difficulty with retention and comfort when wearing a traditional denture will benefit from locator attachments. The lip support is better compared to an implant retained fixed restoration because the extra denture material gives you an instant cosmetic filler for your lips. A removable appliance is more easily repaired. Oral hygiene at home care is also easier.

What material is in a Complete Denture with 2 or 4 Locator Attachments?

The base of a complete denture with locator attachments is made of pink acrylic. The teeth are made of tooth colored acrylic or porcelain which attach into the base. Locator attachments are plastic and the implants they attach to are titanium.


What are the risks of a Complete Denture with 2 or 4 Locator Attachments?

Locator attachments wear out over time and need to be replaced. Denture acrylic covering the locator attachment may chip if it is thin due to a limited space in the mouth.


What are the alternatives to a Complete Denture with 2 or 4 Locator Attachments?

  1. A traditional complete denture
  2. A complete denture with a milled bar attachment
  3. A complete denture with locator attachments on a bar
  4. Crowns or bridges supported by dental implants

Are there any post-treatment limitations once I have a Complete Denture with 2 or 4 Locator Attachments?

To keep the tissue under the appliance healthy and to prolong the life of the locator attachments, your denture should be left out of your mouth during sleep. The teeth in the denture are not as strong as your natural teeth and you will not be able to chew as heavily on them. The appliance will tend to get food trapped underneath it and you may have to remove and clean it after eating.


Implant Supported Overdenture Procedure:

We will make the dentures first. We will place implants and allow the bone to heal for 3-4 months. You can still use your denture while implants are healing. Once implants are healed, we place attachments that attach the implants to the denture

overdenture